

Accepting CDCP
Accepting Canada Refugee Program
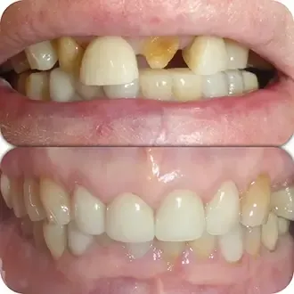
We've Got You Covered
Same-Day Emergency Appointments
60+ Years Of Combined Dental Experience
We Accept ALL Major Insurances
Direct To Insurance Assignment
Quick & Speedy Appointments
Free Parking
Your Exclusive Multi-specialty Dental Clinic
Latest Dental Technology
Convenience That Fits Your Schedule
Staff Speaks Many Languages:
Farsi
Hindi
Tagalog
Korean
English
We've Got You Covered
Dentures
Dental Implants
Veneers
Periodontics
Invisalign & Aligners
Dental Bonding
Cosmetic Dentistry
Regular Cleanings & Hygiene
Teeth Whitening
Dental Fillings
Kid Friendly Pediatrics
Smile Makeovers
Smile Design
Gum Therapy
Same-day Emergencies
Wisdom Teeth
Root Canal Treatment
Sedation Dentistry
CDCP
(Canadian Dental Care Program)

Prosthodontist
Speaks English, Farsi
Only Dentist in Canada holding 3 Prosthodontist certifications
Attended Kings College London (BEST DENTAL UNIVERSITY IN THE WORLD)
Board Certified Prosthodontist
DDS. MSC. MClindent.
MRD (Prosth). RCSED. FRCD(C)

General Dentist + Ortho
Speaks English, Hindi
Masters In Orthodontics (MDS)
Member of Indian Association of Orthodontics
UBC Advanced Orthodontics Study Club

General Dentist + Implants
Speaks English, Farsi
International Leading Dental Implantologist
University of Toronto Graduate
Misch International Implant Graduate
Temple University Graduate
2023 Top 3 Dentists In Vancouver












WE HAVE LIMITED AVAILABILITY THIS MONTH.
PLEASE SUBMIT YOUR INFORMATION ONLY IF YOU INTEND TO SHOW UP TO YOUR APPOINTMENT.
We can't help you if...
❌ You are just price shopping
❌ Don't respect the Dentist's time.
❌ Are Not Ready For A Dental Appointment


